
近日,放射科聯合麻醉科為一名晚期食管癌患者成功實施無痛經皮胃造瘺術,標志著我院在腫瘤營養介入治療中多學科協作與個體化無痛管理方面取得重要突破。“這不是單純的技術突破,更是醫療溫度的體現”放射科主任楊光強調,“通過術前心理疏導、術中舒適化醫療、術后全方位護理的三維關懷體系,我們真正踐行了以患者為中心的服務理念。”

患者因食管癌多次行局部放療及全身免疫治療,食管頸段局部明顯狹窄伴炎性滲出表現,進食、水均出現疼痛及不耐受反應。因鼻飼營養管需長時間留置病變段,對局部刺激較大且創口不易愈合,此前先后兩次嘗試導絲引導通過病變段,患者均因疼痛不能耐受而被迫中止手術,患者及家屬身心出現巨大恐懼和壓力。經相關科室MDT討論,最終擬定在靜脈麻醉下行經皮胃造瘺術。
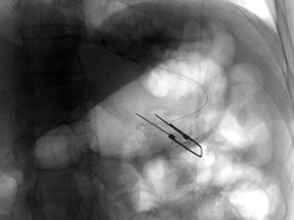
沒有營養支持,患者無法進一步治療,建立腸內營養通路迫在眉睫。放射科介入團隊創新性提出全麻護航的手術方案,楊光主任與麻醉科溝通后,為患者制定了個體化鎮靜鎮痛策略,同時采用聯合DSA透視下的精準引導,快速將導絲及導管經口鼻迅速置入胃腔內,短時間內精準定位穿刺點,操作時間僅用15分鐘。患者術中無不良反應,術后5分鐘即恢復意識,造瘺管引流通暢,實現了全程無痛介入。
從“疼痛難忍”到“無痛安全”,從“反復失敗”到“一氣呵成”,此例手術的成功實施,彰顯了我院介入治療團隊攻堅克難的專業實力,也是多學科協作診療模式的生動呈現。放射科將持續深化舒適化醫療探索,讓更多患者享受精準微創的優質醫療服務,積極推動舒適化醫療在介入領域的實踐應用,讓更多腫瘤患者受益。
文/楊東強 黃景香