
11月3日,一名30歲男性在我院接受了河北省首臺5.0T超高場核磁共振頭顱血管成像檢查,圖像清晰精準地反映出患者右側小腦區域的血管畸形情況,該患者對我院的診療實力與服務溫度給予充分肯定。相較于傳統核磁共振,這臺設備實現了“超高場全身各部位成像”的技術突破,它以業界領先的超高性能實現亞毫米級超高清成像,尤其在神經、心血管、體腹、關節等部位腫瘤疾病的早期發現、精準評估、個性化治療方案制定中提供了的強大影像支持,將為全省乃至周邊地區患者帶來更優質、更精準的醫療服務。

5.0T磁場強度遠高于其他設備,使得氫原子核在磁場中的響應信號極大地增強。這就像在安靜的房間里能聽清細微的聲音一樣,高信噪比能讓醫生看到更微小、更模糊的病變結構。例如上述患者的檢查,該設備可以呈現0.2x0.2毫米高分辨率的圖像以及動態顯示血管走行,使得病變血管的細微解剖結構、分布及其與周邊腦組織的關系得以直觀呈現,為臨床醫生進行精準診斷并制定后續治療方案提供了重要的影像學依據。

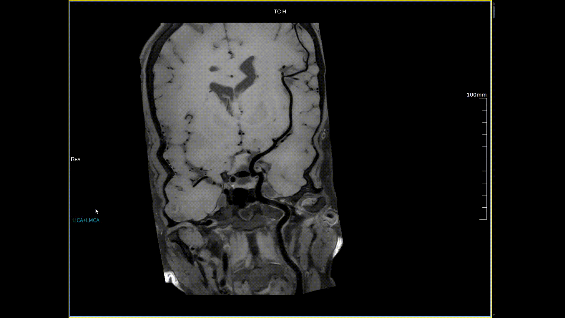
4D非造影劑頭顱血管成像

頭頸血管斑塊,分辨率0.4*0.4mm

磁敏感成像SWI,分辨率0.2*0.2mm

胰腺小視野高分辨,分辨率0.5*0.5mm
相比目前臨床廣泛使用的1.5T和3.0T核磁共振設備,5.0T核磁共振的優勢十分顯著。該設備能為患者帶來更早、更精準的診斷,有效規避漏診與誤診,助力患者及時接受規范治療以顯著改善預后,尤其對于惡性腫瘤和神經系統疾病,早期精準診斷更能重塑患者生命軌跡。同時,依托其提供的精確病灶信息,醫生可制定“量身定制”的手術、放療或藥物治療方案,實現療效最大化與副作用最小化。作為連接臨床與科研的橋梁、推動醫學進步的強大引擎,5T技術還支持實時觀察疾病微觀演化過程以探索疾病新機制,并憑借卓越的功能和代謝成像能力,開發可用于疾病早期診斷、分型及療效預測的新型成像生物標志物。
5.0T核磁共振是醫學影像學的未來發展方向,它絕非一臺僅能拍出“更清晰影像”的設備,更是強大的生理、病理及代謝信息探測平臺。可以預見,它將引領臨床診斷邁入全新的“精準時代”,讓患者切實享受到更早期、更安全、更有效的高質量診療服務。我院將依托這一先進設備,持續提升個體化精準診斷能力,以尖端技術與實際行動守護人民群眾生命健康。
CT磁共振科