
什么是腦膠質瘤?
膠質瘤又叫神經膠質瘤,起源于負責支持、營養神經元的神經膠質細胞,是顱內最常見的原發性惡性腫瘤。2022年我國神經膠質瘤發病率為10萬分之7。膠質瘤的分級是根據腫瘤細胞與正常細胞的相似程度進行分類,低級別膠質瘤包括Ⅰ級和Ⅱ級(1級和2級),高級別膠質瘤包括Ⅲ級和Ⅳ級(3級和4級),膠質瘤的級別越高,腫瘤的惡性程度也隨之上升。

膠質瘤可以發生在任何年齡段的人群中,但成年人更多。I到IV級膠質瘤患者的5年總生存率分別為98%、50%、30%和5%,且高級別膠質瘤的預后相對較差。
為什么會得腦膠質瘤?和接打手機有關嗎?
腦膠質瘤的發生,是家族遺傳因素與外部環境因素相互作用的結果。目前可以確定的兩個危險因素是:暴露于高劑量電離輻射、與某些罕見疾病相關的遺傳突變相關。雖然目前沒有證據表明接打手機與患膠質瘤有明確的相關性,但是長時間在耳邊接打手機還是不建議的。
如何及時發現腦膠質瘤?
腦膠質瘤引起的神經系統癥狀較為廣泛。癥狀可能包括:頻繁的頭痛伴惡心、驚厥發作、感覺障礙、視力模糊、平衡困難、性格變化等,膠質瘤的癥狀與腫瘤所在部位的腦功能相關。
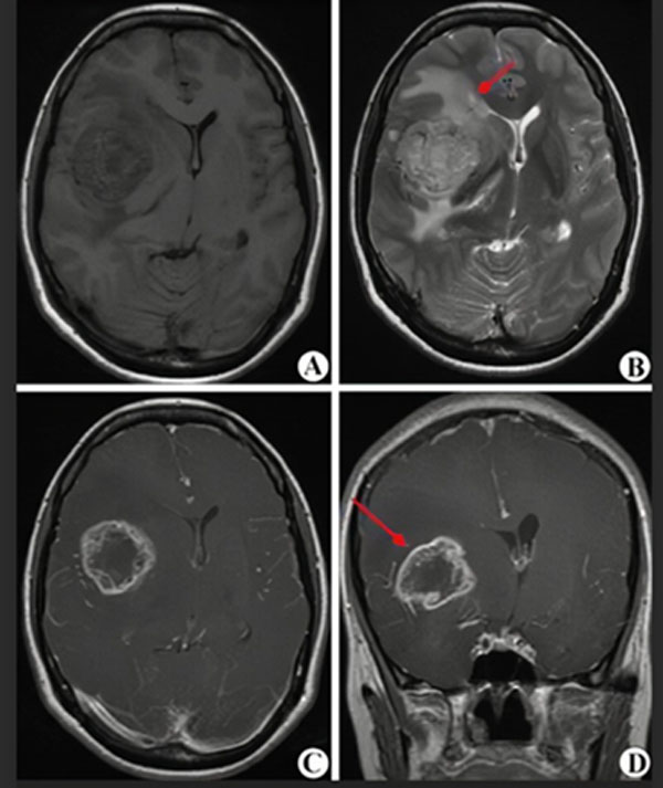
MRI(核磁共振)是一種無創傷的影像學檢查,對腦腫瘤敏感性較高,大約1-2天可以拿到結果,是診斷和評估治療效果的首選。但準確性只有80%-90%,不能作為確診的最終依據。

(圖A-D顯示為高級別膠質瘤的核磁表現,紅箭頭指示腫瘤所在)
膠質瘤最終確診還要依靠立體定向穿刺或開顱手術等有創操作,取得病變組織,由病理科醫生確認病變是否為膠質瘤以及膠質瘤的級別,這一過程大約需要7-10天。
膠質瘤的基因檢測是什么?有必要做嗎?
最新的膠質瘤診斷由組織病理學診斷和分子病理學診斷兩部分構成。組織病理可以明確病變是否為膠質瘤、組織類型及級別、惡性程度的高低。分子病理是指通過基因檢測來明確腫瘤的基因特征及突變情況,明確腫瘤是屬于哪種亞型,可以幫助我們評估治療效果,判斷腫瘤對放療、化療是否敏感以及指導治療的方案及判斷預后。簡言之,基因檢測能為膠質瘤的最終分型、治療及預后評估提供重要的依據,可以使治療更精準,在條件允許情況下,建議進行檢測。
腦膠質瘤可以治愈嗎?會轉移到身體其他部位嗎?
治療膠質瘤有很多方法可以嘗試,但沒有一種方法是完美的。治療方法包括手術、放療、化療、靶向藥物治療、電場療法等。膠質瘤轉移到顱外其他部位也是較為罕見的。
I級膠質瘤腫瘤侵襲性較低,完全切除后不需要放化療,會有一個較長的生存期。II級及以上膠質瘤往往呈侵襲性生長,腫瘤與腦組織邊界不清楚,標準治療計劃包括手術切除腫瘤,然后進行放療或化療,以殺死殘留的瘤細胞,理論上難以治愈,且膠質瘤可能會在治療期間或治療后復發。如今,隨著膠質瘤研究的深入,治療技術的更新,療法組合不斷優化,甚至包括可參與的臨床試驗,我們能夠做到在一定程度上阻止膠質瘤的生長,這也使得達成長期存活的膠質瘤患者越來越多。
腦膠質瘤延遲治療會怎樣?
早確診、早治療是腦膠質瘤良好預后的關鍵。不積極治療,尤其是延遲手術,大多數情況下不僅不能少遭罪,往往還會遭遇更多艱難的情況。延遲治療可能錯過最佳的治療和恢復時機,后果主要體現三方面:腫瘤惡化升級、生活質量降低、生存期縮短。
一是部分低級別膠質瘤,有惡化升級的可能,或者高級別膠質瘤生長快,容易造成巨大的顱內占位難以手術;二是本來能夠不留后遺癥,結果任其發展,出現肢體癱瘓、視力下降、失語等殘疾生活狀態;三是生存期縮短,目前的醫療手段雖然無法根治腫瘤,但是可以延緩進展、提高生存期。
手術切除、化療和放療的意義是什么?年齡很大還可以手術嗎?
手術可以緩解臨床癥狀,延長患者生存期,獲得足夠的標本來明確病理診斷和分子水平研究。在安全的前提下,最大限度切除腫瘤是膠質瘤手術的目標。隨著科學技術的不斷進步,在現代膠質瘤的手術中,有多模態磁共振、神經導航、術中超聲、術中神經電生理、術中喚醒等技術的輔助,使得膠質瘤的手術更加精準、更加安全。
高級別膠質瘤的術后放療有利于患者生存期的延長。由于膠質瘤侵襲性生長的特點和大腦功能區的存在,很難實現擴大切除。因此,對于惡性膠質瘤,即使在影像學上徹底切除,也要采取腫瘤周圍腦組織的放射治療。有助于延緩腫瘤復發,延長患者生存期。
化療可以進一步殺死殘存的腫瘤細胞,有助于延長患者的生存時間、延緩病情復發。目前,化療在膠質瘤治療中的作用越來越受到重視。不斷開發的新藥、電場治療、靶向治療、疫苗的開發等給了膠質瘤治療新的手段和新的希望。
年齡是影響患者恢復效果的重要因素,但仍有許多老年患者可以從手術、放療或化療中受益。但對于患有重大基礎疾病的患者,建議根據個體情況選擇合適的治療方案。

如何預防和處理膠質瘤的復發?
要堅持膠質瘤術后系統治療,堅持定期復查。低級別膠質瘤每3-6個月復查一次,5年后每年復查一次。高級別膠質瘤放療后2-6周進行頭部MRI檢查,2-3年內每2-3個月進行MRI檢查,3年后每3-6個月進行一次。病情復發時及時聯系主治醫生,聽取專業意見,進行規范治療,復發患者的生存期也會得到受益。
文/靳乾旭 佟靜