近日,我院核醫學科在河北省率先成功開展了核素68Ga(鎵)標記多種新型分子探針(顯像劑)PET/CT顯像的臨床應用,標志著我院PET/CT新技術跨入國內先進行列。我院成為河北省首家具備相應資質并開展多探針PET/CT或PET/MR顯像的醫院。
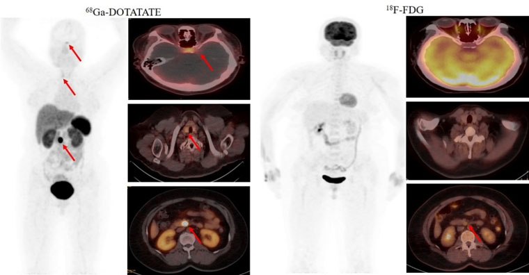
首個病例患者為一名49歲的女性,間斷低血糖超過1年,甲狀旁腺激素檢查異常升高。腦MRI提示為腦垂體微腺瘤,上腹部MRI檢查未發現明顯異常。但臨床懷疑胰腺存在病變,經新探針68Ga-DOTATATE PET/CT檢查,發現了胰腺病灶,綜合診斷多發性內分泌瘤病I型(MEN1型)。經胰腺穿刺病理證實為神經內分泌腫瘤G2。68Ga-DOTATATE及18F-FDG PET/CT雙核素的檢查結果為患者臨床精準診療提供了胰腺病灶的影像學證據。

2021年5月,我院核醫學科率先獲得河北省最高級別的IV類放射性藥品使用證書。在學科帶頭人趙新明教授的帶領下,科室成員汲取全國優秀核醫學科經驗,成功開展了多種新型分子探針PET/CT臨床顯像工作。這些新型分子影像探針包括68Ga-DOTATATE(68Ga-生長抑素受體激動劑,針對神經內分泌腫瘤)、68Ga-JR11(68Ga-生長抑素受體拮抗劑,針對神經內分泌腫瘤)、68Ga-FAPI(68Ga-成纖維細胞活化蛋白抑制劑,針對腫瘤微環境中腫瘤相關成纖維細胞,用于各種腫瘤顯像)和68Ga-PSMA(68Ga-前列腺特異性膜抗原,針對前列腺癌等多種惡性腫瘤)等,新型PET分子探針(顯像劑)的應用對相關腫瘤診斷、分期和療效評價產生了質的飛躍。
目前,PET/CT(或PET/MR)已成為醫學影像發展進展最快、最活躍和潛力最大的影像學分支。隨著正電子核素新技術的開發與應用,多種新型分子影像探針在神經內分泌腫瘤、前列腺癌、食管癌、胃癌、結直腸癌及腹膜轉移、胰腺癌、卵巢癌、肝細胞癌、腎透明細胞癌、乳腺癌、肺癌、頭頸部等各種惡性腫瘤、腦疾病和心血管疾病的診療方面展現了靈敏度高和特異性強的特點,有著巨大的臨床應用價值。
多種新型探針PET/CT的臨床使用,滿足了臨床多元化的需求,進一步提升了我院對腫瘤疑難重癥的精準診療能力和科研能力,是我院發展史乃至河北省核醫學影像發展史上又一重要的里程碑。我院核醫學科將緊跟國際及國內相關領域研究的熱點、前沿,銳意進取、開拓創新,不斷提升患者就醫獲得感,用更高質量的技術和服務為廣大患者的生命健康保駕護航。
文/王娜